Wisdom Teeth Professionals
- Website Visit Website
- Hours of Operation
24/7
- Personal Quote/motto: Wisdom Teeth Removal Sydney - Wisdom Teeth Removal Sydney
- First Name Paulo
- Last Name Pinho
- Your Position Doctor
- Year Established 2012
- Accepted Forms of Payments Cash, check, cards
- Country Australia
- State New South Wales
- Address Line 1 Level 2, 9 York Street
- City Sydney
- Enter Postal Code 2000
- Other Links Visit YouTube
- Other Links Visit Website
- Other Links Visit Website
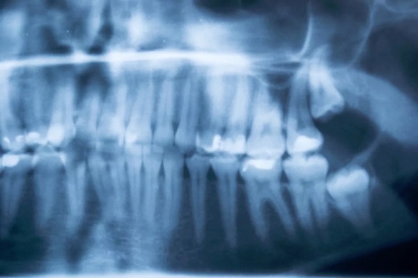
Wisdom Teeth Professionals in Sydney is usually necessary when they appear in your mouth. They come in between the ages of 17 and 25. When the wisdom tooth is unable to fully enter the mouth, it is said to be “impacted.” In general, impacted wisdom teeth are unable to break through the gums because there is not enough space. Nine out of ten people have at least one impacted wisdom tooth in their mouth and wisdom teeth pain. Many people believe that as long as they are not in pain, they do not have to worry about their wisdom teeth removal. However, pain free does not mean wisdom teeth disease-free or problem free. In fact, wisdom teeth that come in normally may still be prone to disease, according to several studies. It is, therefore, important that your dentist in Sydney monitors the health of your wisdom teeth during your annual dental check-ups. An OPG X-ray is usually necessary during the first consultation or Wisdom teeth removal procedure. You can find more information on wisdomteethremovalsydney.au/ or call 1300 217 858.
Services: Wisdom Teeth Removal, Wisdom Teeth Emergency, Invisible braces, Oral Surgeon, Wisdom Tooth Extraction
